Das Dentallabor „Mundzauber“ ist bekannt für seine hohe Qualität und Kundenzufriedenheit. Durch moderne Technologien und individuelle Lösungen in enger Zusammenarbeit mit Zahnärzten und Patienten wird perfekt sitzender Zahnersatz auf höchstem Niveau gefertigt. Kommen Sie doch einfach mal vorbei und schauen sich unsere Arbeit an …
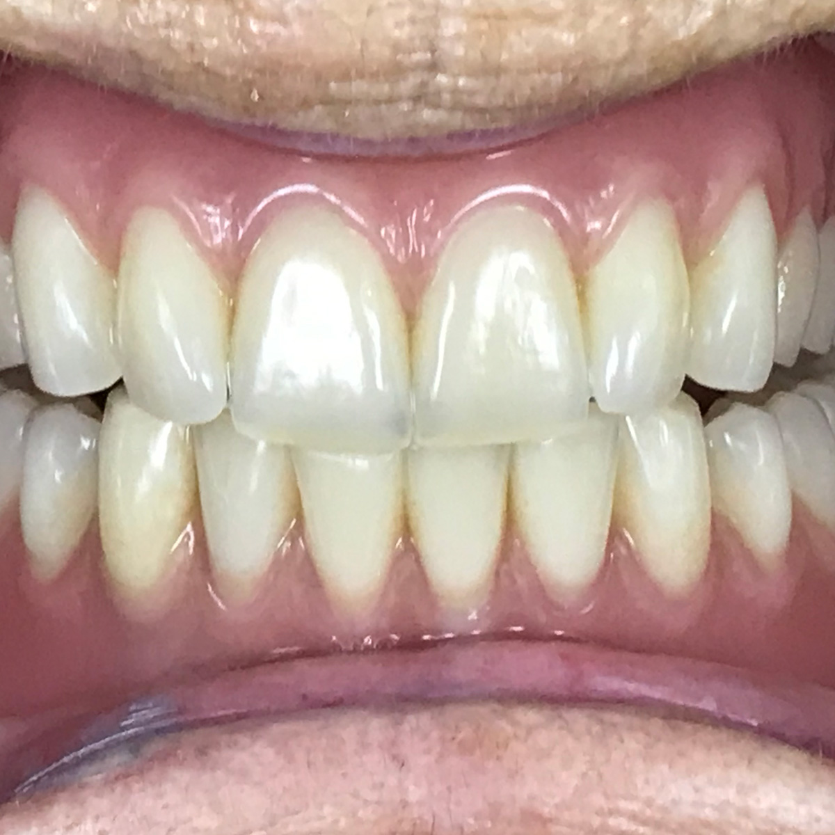
Zähne von Mundzauber
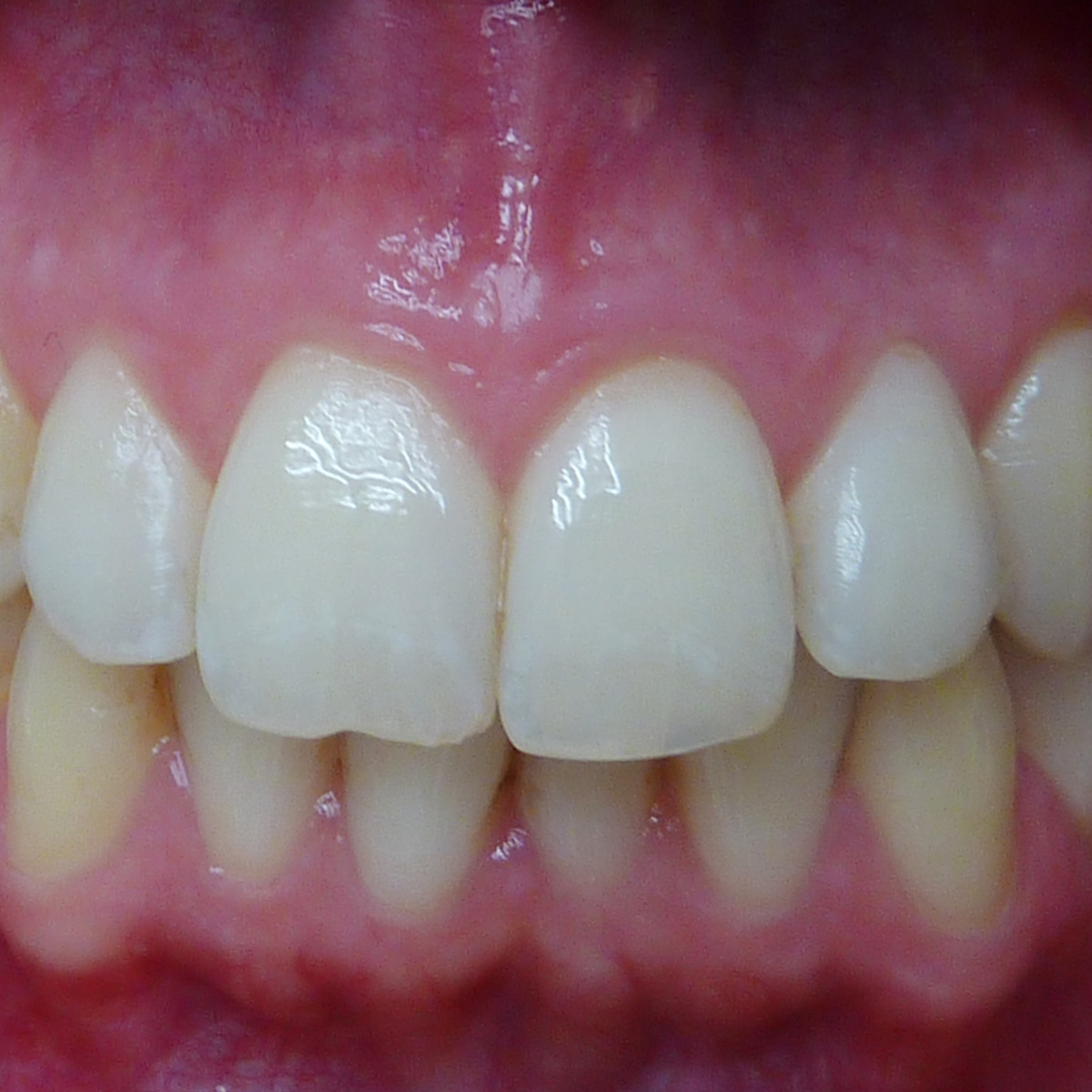
Ästhetisch maßgefertigte Premium-Zahntechnik
Zahnersatz von Mundzauber wird durch unterschiedlichste Arbeitstechniken und mit höchsten Ansprüchen an Werkstoffe und höchste Ästhetik gefertigt. Durch diese Kombination entsteht ein Unikat, das als modernes Produkt – in Hinsicht auf funktionelle Passgenauigkeit, maximalen Kau- und Tragekomfort und hohe Plaque-Resistenz –durch Homogenität eine klare Sicherheit bietet.

In allen Bereichen stellen die absolute Verträglichkeit, Langlebigkeit und Nachhaltigkeit der Materialien, gepaart mit einer liebevoll ausgeführten Anfertigung sicher. Der Mund des Menschen verlangt nach hoher Hömogenität. Zahnstellung, Zahnform, Zahnfarbe, sowie die Oberflächengestaltung und deren Glanzgrad: Diese Natürlichkeit wird von Mundzauber auf die neuen Zähne übertragen und ist als Bestandteil einer ästhetischen Restauration für uns unverzichtbar bei individuell angefertigtem Zahnersatz.
Produkte & Leistungen
Modernste Technologie, ein ausgeprägter Sinn für Ästhetik – und perfekter Komfort
Gute Zähne tragen wesentlich zum Wohlbefinden des Menschen bei, denn neben dem natürlich besseren Selbstbewusstsein ist vor allem auch ein stabiles und komfortables Gefühl im Mund ein wichtiger Faktor für Gesundheit & Lebensgefühl. Wir von Mundzauber hören Ihnen dafür erstmal erstmal richtig zu und schauen ganz genau hin, bevor wir Ihre individuellen Bedürfnisse mit modernen und erprobten Techniken und besten Materialien umsetzen.
Verschaffen Sie sich gleich hier einen kleinen Überblick über unsere Leistungen. Weil ein persönliches Gespräch aber immer am besten ist, sprechen Sie uns doch gerne an – wir beraten Sie ganz unverbindlich.

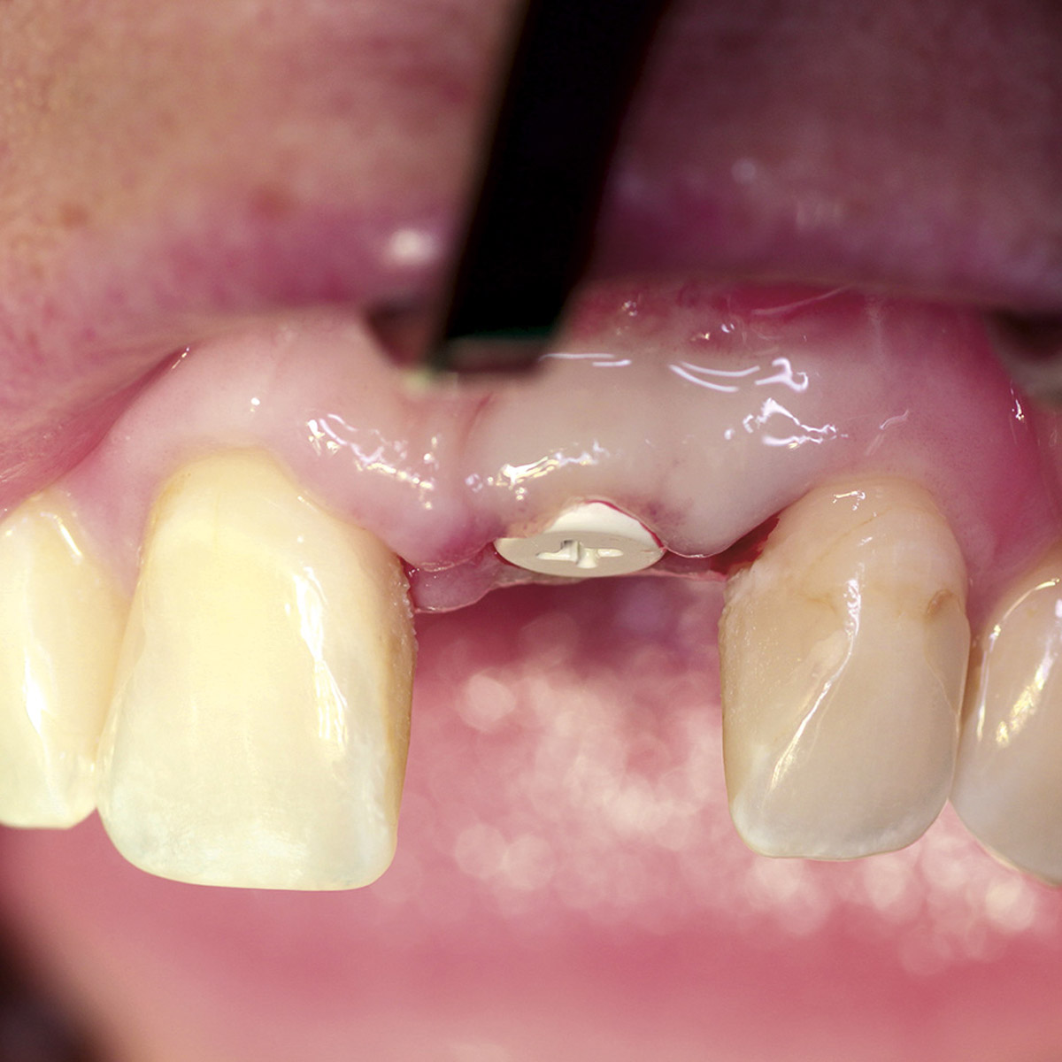
Planung & ästhetische Stilistik
Bei Mundzauber gleichen sich die fertigen Arbeiten nur in Sachen Qualität und Stilsicherheit. Darüber hinaus wird jede Lösung ganz genau auf den Patienten und dessen Bedürfnisse maßgeschneidert. So werden individuelle Merkmale und der Gesamteindruck der vorhandenen natürlichen Zähne genau simuliert.
Dafür werden Form, Oberflächenstruktur und Farbe genau abgestimmt – und stilistisch geplant.
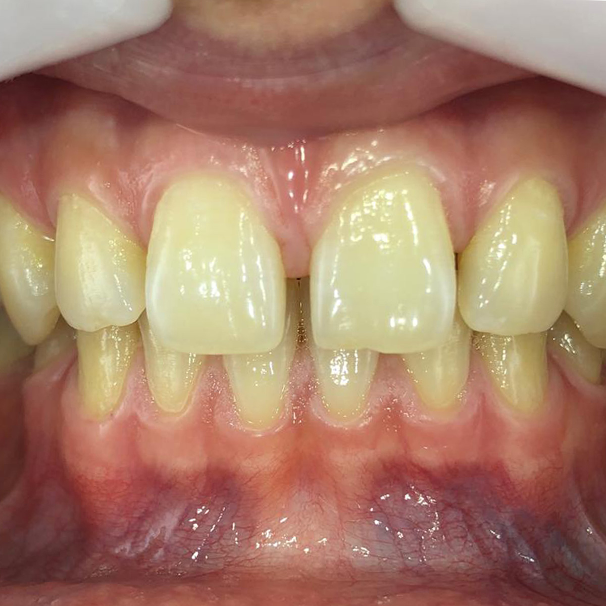
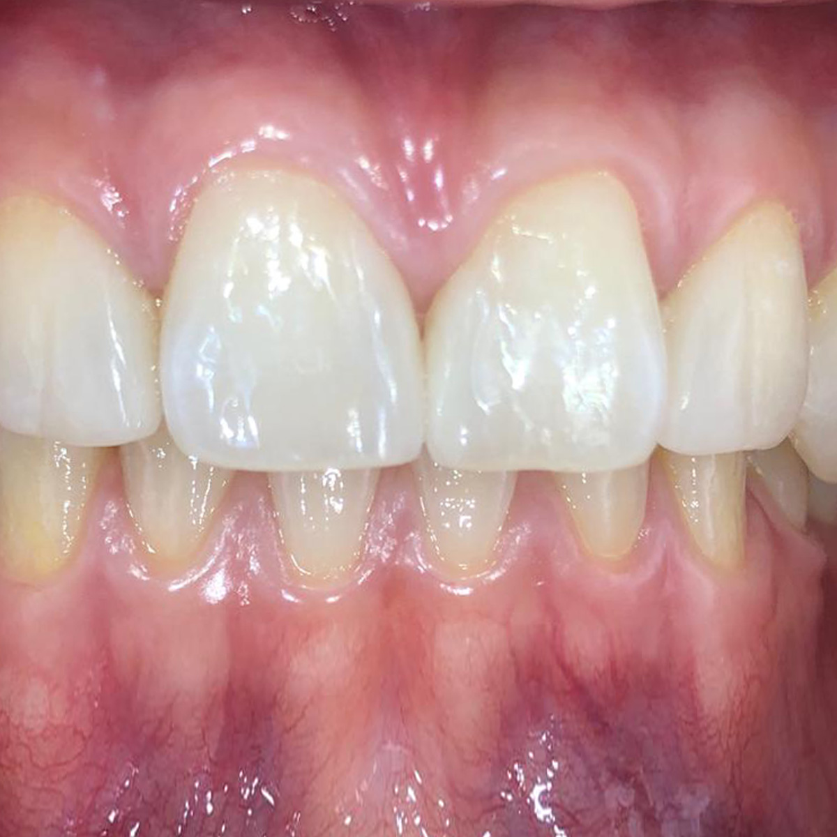
Ästhetik
Gute Zähne wirken gesund – und Gesundheit wirkt attraktiv
Selbst der ausgeglichenste Mensch kann sich kaum dagegen erwehren: Man möchte sich von seiner strahlendsten Seite zeigen, oder zumindest so gesund und gepflegt erscheinen, wie man sich selbst gerne sieht. Da sind die Zähne ein sehr wesentlicher Faktor für ein gutes Selbtsbewusstsein im besten Sinne.

Wir von Mundzauber nehmen diesen Anspruch als Aufgabe – und gestalten mit Ihnen gemeinsam das ästhetische Gesamtbild, das genau zu Ihnen passt.
Der gestalterische Spielraum für die Rekonstrukion der Zähne wird bei Mundzauber gefüllt mit möglichst vielen individuellen Merkmalen. Diese sind keine Makel, sondern Ausdruck Ihres ganz persönlichen Erscheinungsbildes.
Insgesamt ist der Blick für den individuellen Charakter und dessen Umsetzung in Kombination mit technischer Präzision ausschlaggebend für das ausdrucksvolle Gelingen von ästhetischem Zahnersatz.
Sie wollen mehr Wissen?
Nutzen Sie unseren Rückrufservice und wir beraten Sie bündig und ganz unverbindlich.
Finanzierung
Kraftvoll zubeißen – ohne finanzielle Schmerzen
Qualitativ hochwertigen Zahnersatz aus dem besten Material herzustellen, ist ziemlich aufwendig. Leider trägt die gesetzliche Krankenkasse meistens nur einen Teil des Aufwands. In manchen Fällen sieht sie auch gar keine Leistungen vor. Das ist zwar nicht so erfreulich, lässt sich aber ganz gut abfedern, denn anfallende Kosten lassen sich am besten möglichst klein halten durch eine geeignete Zahnzusatzversicherung.

Beim Umfang der Erstattungsleistung sollte darauf geachtet werden, dass ein Anteil von mindestens 50 Prozent der anfallenden Heil- und Behandlungskosten für Zahnersatz abgedeckt werden. So können mit einer guten Zahnzusatzversicherung bis zum 3,5 fachen des GOZ-Satzes erstattet werden und die Deckelung der Maximalerstattung für Inlay und Implantat entfällt.
Bei manchen Versicherern lassen sich Zahnzusatzversicherungen auch dann noch abschließen, wenn die Behandlung bereits begonnen hat. Sprechen Sie uns doch einfach auf das Thema Kosten an – wir helfen Ihnen gerne weiter.
Impressionen aus unserem Labor
Entspannt in der Atmosphäre – perfekt im Produkt
Unsere hellen Labor-Räume bieten eine angenehme Atmosphäre, um alles Wichtige zu besprechen und ganz locker und ungestört die perfekte Lösung für Ihre Bedürfnisse zu finden. Verschaffen Sie sich einen kleinen Eindruck unseres Labors und unserer Räumlichkeiten.
Haben Sie eine Frage an uns? Oder vereinbaren Sie Ihren Wunsch-Termin für ein schönes Lächeln.
Kontaktieren Sie uns doch gleich hier – wir melden uns gerne zeitnah bei Ihnen zurück.
Ihr möglichst zeitnaher Besuch in unserem Labor ist für viele anstehende Restaurationen unverzichtbar – vor allem bei kosmetisch-ästhetischen Arbeiten. Teilen Sie mit uns Ihre Wünsche und wir werden für Sie die bestmögliche Ausführung gestalten. Wenn Ihre Möglichkeiten für einen Besuch bei uns eingeschränkt sein sollten, sprechen Sie uns gerne an – und wir werden diesen trotzdem für Sie einrichten können. Sie sind bei uns immer ein gerne gesehener und gehörter Gast.
Haben Sie eine Frage an uns? Oder vereinbaren Sie Ihren Wunsch-Termin für ein schönes Lächeln.
Kontaktieren Sie uns doch gleich hier – wir melden uns gerne zeitnah bei Ihnen zurück.

Mundzauber
Zahntechnik
Bahnhofstraße 18, 53340 Meckenheim




































